ホーム>ニュース
臨床スポットライト | Nuva®再発性動脈瘤管理のためのフローダイバーター
-
2025-08-04
-
LEPU
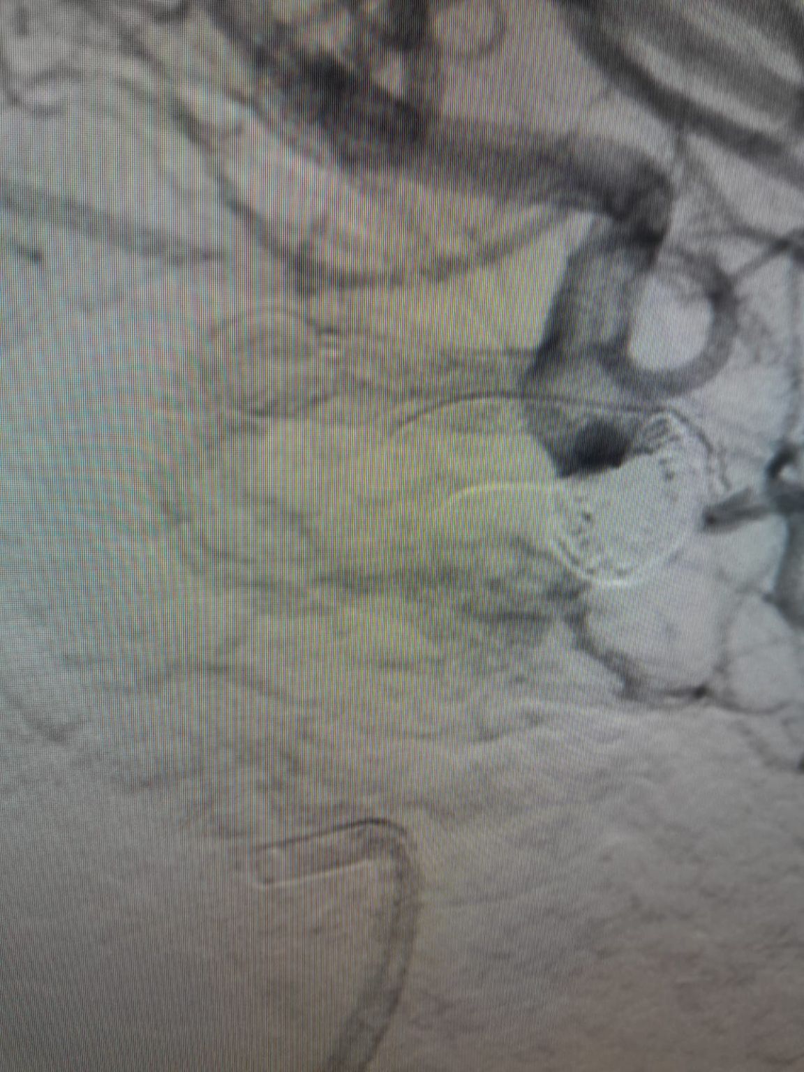
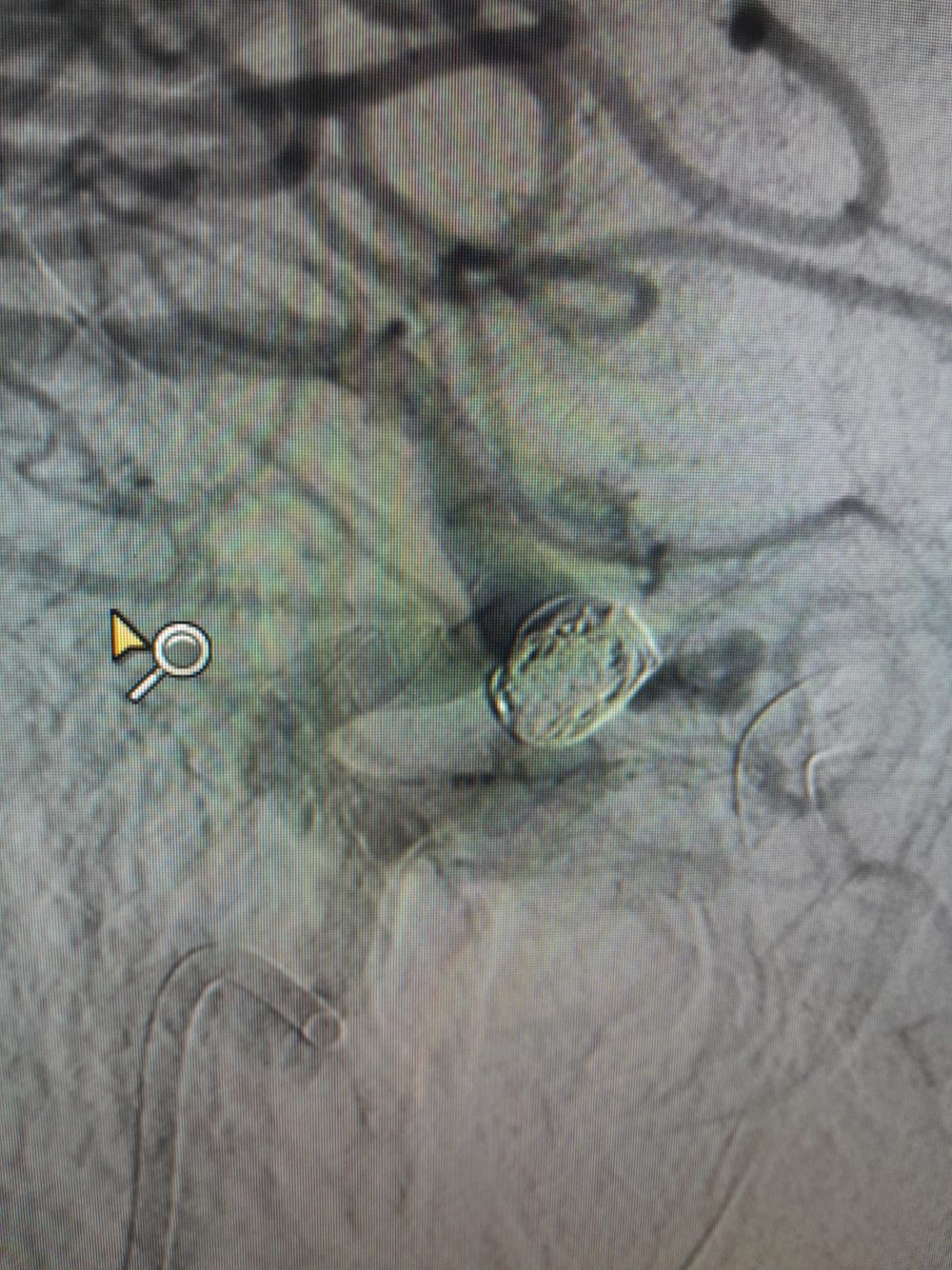
患者: 男性、58歳
診断: 以前にコイル塞栓症で治療された右後部通信動脈動脈瘤
手順:
この手順は、臨床チームの支援を受けて、リベラ博士によってセンテナリオクリニックで成功裏に実行されました。 血管アクセスは、大腿動脈穿刺を介して確立された。 マイクロワイヤーを慎重にターゲットサイトにナビゲートし、続いてフリーパスをスムーズに進めました®使い捨て可能なマイクロカテーテル (TJMC18プラス)。 正確な動脈瘤測定の後、Nuva®フローダイバーター (TJED-D-4.5-14) が選択され、動脈瘤の首全体に正常に展開されました。
手順は合併症なしで完了し、Nuva®デバイスは、優れた壁の配置と流れの転換効果を示しました。 臨床チームは、デバイスの取り扱いと性能を高く評価しました。
なぜNuva®?
1.ヌバ®Flow Diverterは、以前にコイルで処理された血管でもスムーズなナビゲーションを提供します。
2.デバイスは、信頼性の高い配置と優れた壁の配置を保証します。
3.ヌバ®効果的な流れの迂回を促進し、長期的な親動脈の再建をサポートします。
4.再処理手順を簡素化し、手順の複雑さを軽減します。
5.ヌバ®一貫したフルレングスの放射性を提供し、スムーズな手順の実行を保証します。
このケースは、Nuvaが®再発性動脈瘤を正確かつ自信を持って管理するための信頼できる効率的なソリューションを医師に提供します。
Contact us>>Marketing@lepu-medical.com
Visit lepumedical website for more >>En.lepumedical.com





