臨床スポットライト | Nuvaによる多動脈瘤治療®フローダイバーターとパーデンサー®塞栓コイルシステム
-
2025-07-23
-
LEPU
患者: 女性、48歳
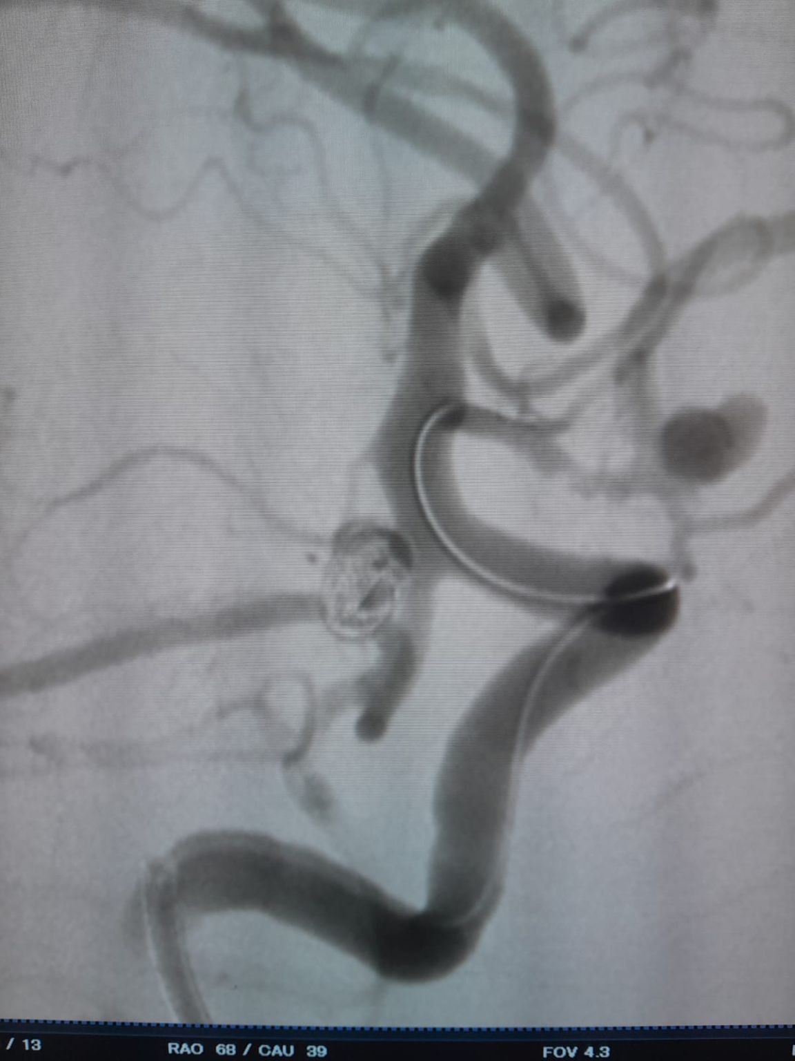
患者は、以前にコイル塞栓症で治療された、新たに発見された前伝達動脈 (AComA) 嚢動脈瘤と後伝達動脈 (PComA) 動脈瘤と診断されました。 追跡画像では、PComA動脈瘤の残留充填が明らかになり、追加の介入が必要でした。
手順
前部通信動脈動脈瘤
血管へのアクセスが確立され、チームはフリーパスのナビゲートに成功しました®ターゲット部位への使い捨てマイクロカテーテル (TJMC14)。 塞栓は3つのPerdenserを使用して行われました®デロンパーと共に展開された塞栓コイルシステム (TJCST4.508-3D、TJCST0306-3D、TJCST0206-3D)®コイルの取り外しのコントローラー (TJCDC)。
後部通信動脈動脈瘤 (再治療)
フォローアップ中に、以前に治療された後部通信動脈動脈瘤に残留物が見られました。 チームはFrepassを使用してサイトに再アクセスしました®使い捨てマイクロカテーテル (TJMC18 Plus) および首尾よくNuvaを展開しました®理想的な壁の配置と優れた流れの迂回を実証したフローダイバーター (TJED-D-4.5-16) は、非常に満足のいく治療結果につながります。
パーデンサー®とヌバ®-複雑な動脈瘤管理のための信頼できるソリューション
パーデンサー®: 精密、高密度塞栓
安定した動脈瘤閉塞のための優れた適合性と高いパッキング密度。
フレーミング、充填、仕上げのためのフルレンジのサイズ。
デロンパー®分離システムは、安全で信頼性の高いインスタントリリースメカニズムを提供します。
ヌバ®: 再発動脈瘤のための効果的なソリューション
最初のコイルリング後の残留充填または再発を伴う動脈瘤の効果的な解決策。
スムーズなナビゲーションと信頼性の高い配置。
優れた壁の配置と安定した流れ転換。
ヌバ®再治療を簡素化し、手続きの複雑さを軽減し、長期的な結果を改善します。
Dr. Rivera highly praised the handling, deliverability, and clinical results of TJWY's products, emphasizing their efficiency and reliability in complex aneurysm interventions. The smooth procedural experience and favorable imaging outcomes further strengthened his confidence in TJWY's neurointerventional solutions.
Contact us>>Marketing@lepu-medical.com
Visit lepumedical website for more >>En.lepumedical.com




