ホーム>ニュース
良いニュース!Lepu Vesscrack IVLバルーンは、チリでの冠状石灰化治療の成功を可能にします
-
2025-09-02
-
LEPU
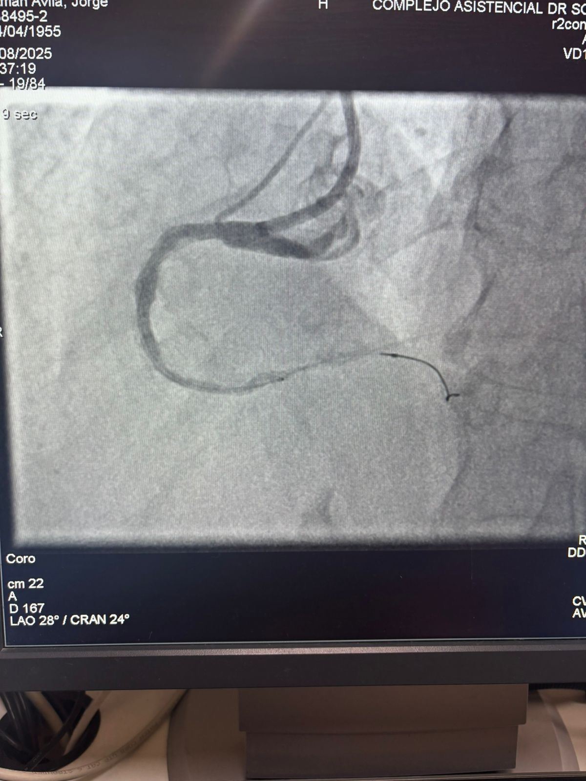
チリのソテロデルリオ病院からの注目すべき事例を共有できることを誇りに思います。マルティンバルデベニート博士は、ベススクラック冠状動脈IVLバルーン希釈カテーテルシステムを使用して、右冠状動脈の重度の石灰化病変 (最初の曲線) の治療に成功しました。
この手順は、石灰化領域に効果的にひびが入り、血管の流れが回復し、優れた結果を達成しました。 これは、複雑な冠状動脈石灰化のための高度なソリューションへのグローバルアクセスを拡大する上でのもう1つのマイルストーンを示しています。
処置前画像と処置後の血管造影画像の比較は、当社のIVL技術の重大な臨床的影響を明確に示しています。
Lepu Medicalでは、困難なケースを成功した結果に変える革新的なソリューションで世界中の医師に力を与えることに引き続き取り組んでいます。
Contact us>>Marketing@lepu-medical.com
Visit lepumedical website for more >>En.lepumedical.com




***This product is presented for academic exchange purpose only and is not intended for sale within European Union.***
