ケース共有 | コロンビアでTJWY MedのNUVAフローダイバーターの最初の海外使用
-
2025-01-15
-
LEPU
Case Sharing | First Overseas Use of TJWY Med's NUVA Flow Diverter in Colombia
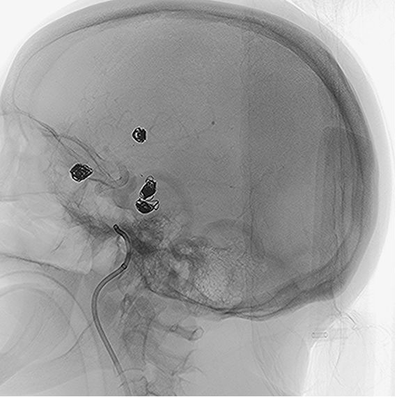
コロンビアでの最初の海外ケースでTJWY MedicalのNUVAフローダイバーターの実装が成功したことを発表できることを嬉しく思います! この画期的な介入は、有名な神経放射線学者のネルソン・ロベロ博士によって行われました。
ケースの概要:
• The patient presented with multiple unruptured giant wide-neck aneurysms. A pre-treatment panangiography revealed a right posterior communicating artery aneurysm measuring approximately 8x8mm and an additional 8x6mm saccular aneurysm in the left azygos pericallosal artery—an exceedingly rare anatomical variation.
• The left middle cerebral artery aneurysm (9x5mm) had previously been treated with a coil but required further intervention.
外科のハイライト:
• Under general anesthesia, a puncture was performed on the right femoral artery, and a CEREBASE 8F introducer catheter was inserted.
• The left internal carotid artery (ICA) was accessed and a pathway was built using TJWY’s FREPASS microcatheter.
• A 5x20mm NUVA flow diverter, designed by TJWY, was deployed to treat the aneurysm in the posterior communicating artery with precision, achieving immediate blood flow stagnation.
• The neck of another aneurysm in the pericallosal artery was protected with a 10mm PCONUS intrasaccular device, and successfully embolized with 3 coils.
結果:
• The NUVA flow diverter demonstrated excellent wall apposition without complications.
• Post-surgery, branch vessels were fully preserved, and the patient’s recovery was smooth with no adverse events.
医療チーム全体の専門知識と献身に感謝します!
Contact us>>Marketing@lepu-medical.com
Visit lepumedical website for more >>En.lepumedical.com



