ホーム>ニュース
2年間のフォローアップ | MemoSorb生分解性ASDオクルダー
-
2025-08-11
-
LEPU
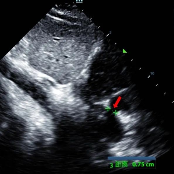
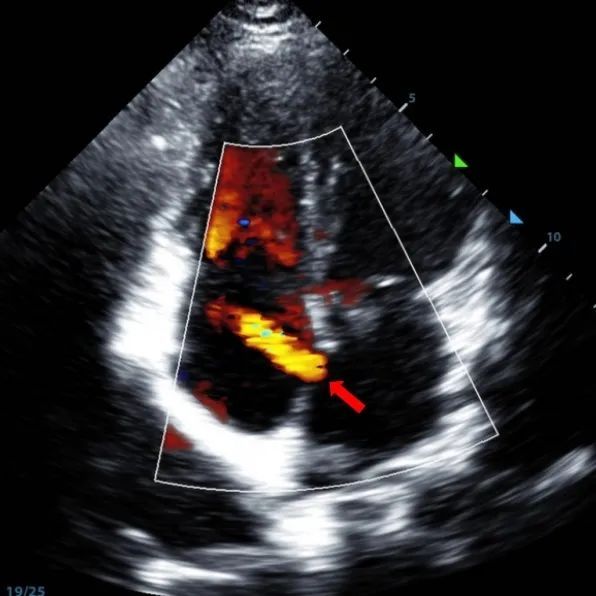
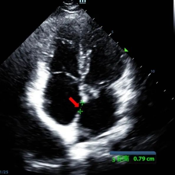
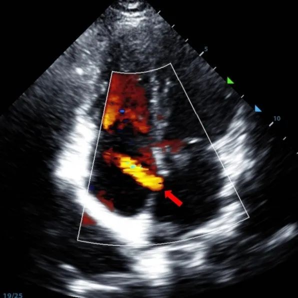
Secundum ASD (7.5〜7.9mm) の9歳の男性は、MemoSorb BDASD-I 12 mmオクルーダーおよび12Fデリバリーシステムを使用して治療されました。 手順前に合併症や併存症は見られませんでした。
Serial echocardiographic follow-ups showed stable device position and favorable cardiac remodeling. Gradual degradation confirmed the occluder's long-term safety and efficacy.
Contact us>>Marketing@lepu-medical.com
Visit lepumedical website for more >>En.lepumedical.com




