ホーム>ニュース
ケース共有 | Thorcrack末梢IVLで治療された重度の下肢動脈石灰化
-
2025-09-11
-
LEPU
プロファイルコンテナ
・ジェンダー: 女性
・年齢: 53歳
·Chief Complaint: Bilateral foot necrosis with black discoloration for >6 months
・過去の病歴: 長期制御が不十分な末期腎疾患、高血圧、および糖尿病に対する長期血液透析
臨床調査結果
・身体検査: 弱い大腿脈拍; 膝蓋および背側の足指パルスがない。左最初のつま先の潰瘍; 右の第1および第2のつま先の壊死
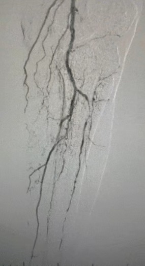
・術前イメージング: 両側下肢動脈における重度のびまん性石灰化狭窄症
治療アプローチ
複雑な血管状態を考慮して、ThorCrack末梢IVLバルーン拡張カテーテルシステムを選択しました。 患者の耐性が限られているため、両方の下肢に段階的な介入手順が実行されました。
外科的成果
処置後、動脈狭窄は大幅に改善し、血流が増加し、皮膚の温度が上昇しました。 術後の合併症は発生しませんでした。 患者と外科チームの両方が結果に非常に満足していました。
この症例は、重度の下肢動脈硬化症に対する低侵襲治療における大きな進歩を浮き彫りにし、困難な症例に対してより効果的な解決策を提供します。





