ホーム>ニュース
臨床スポットライト | 後部伝染性動脈動脈瘤の治療におけるNuvaフローダイバーター
-
2025-12-18
-
Lepu
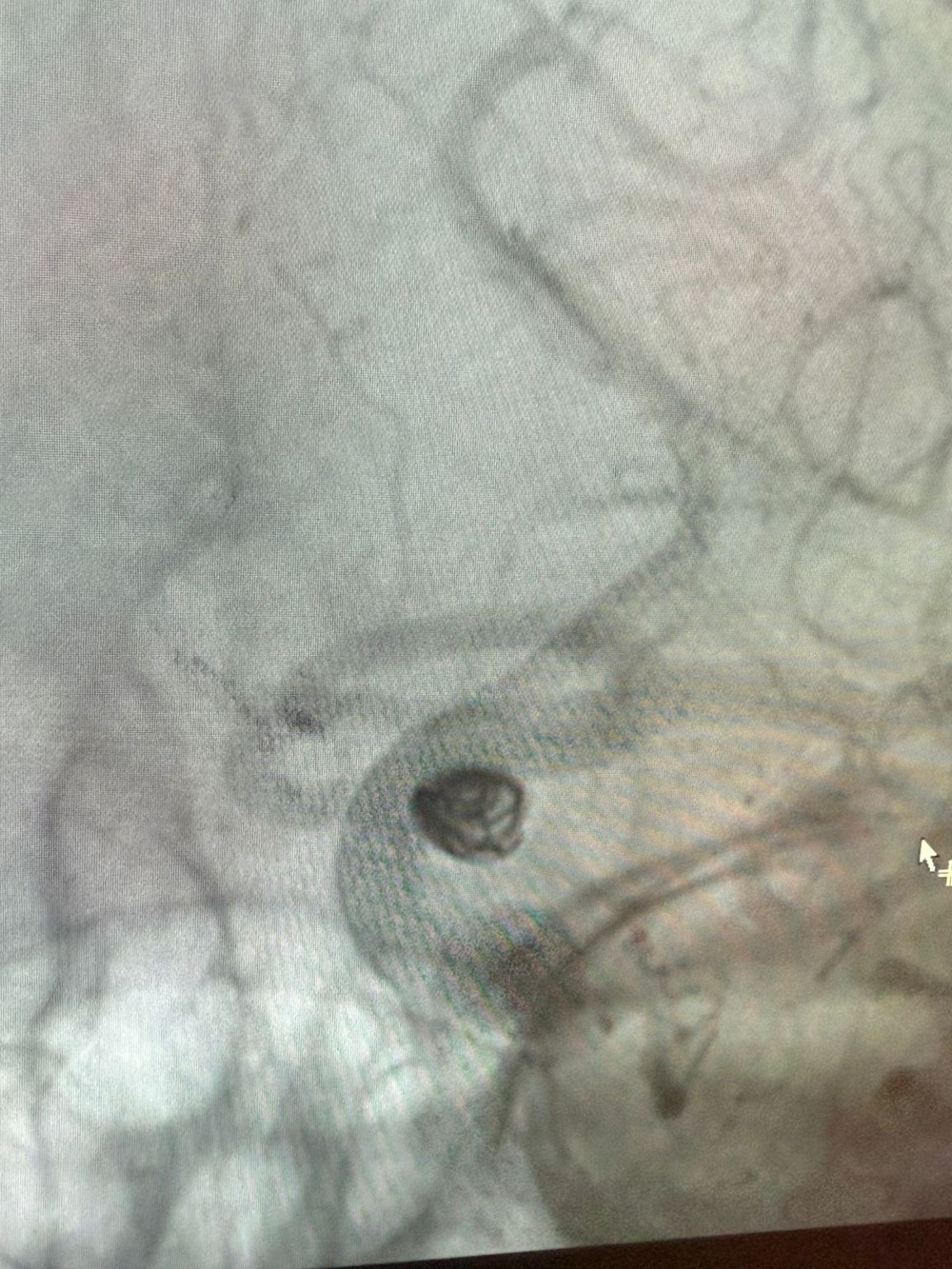
ホルヘ・ムティス博士が行った、メデジンのクリニカ・アルマ・マターでの最近の成功した手順を共有できることを嬉しく思います。
治療はNuvaを利用しました®流れのダイバーター (5.0-14 TJED-D) 、Perdenser®3Dコイル、およびFrepass®後部通信動脈動脈瘤用のマイクロカテーテル (TJMC18 Plus)。
臨床洞察:
Mutis博士は、デバイスの優れた視認性を強調し、回収がスムーズであると述べました。 彼は最終結果に大きな満足を表明した。
TJWY Medicalは、医師が患者に最高のケアを提供するのをサポートするために、高品質で信頼性の高い神経血管ソリューションを提供することに専念しています。 この場合の製品を選択する際に、Mutis博士とチームの信頼と協力に心から感謝します。




